|
|
KLINIKAI-, LABORATÓRIUMI ESETEK |
|
KATANA™ Zirconia YML ÉS CERABIEN™ MiLai Ez a rendszer támogatja a minimál invazív preparálást a monolitikus, többrétegű cirkónium-oxid váz kedvező minimális falvastagságának, illetve az esztétikai zónában alkalmazott rendkívül vékony porcelán rétegnek köszönhetően. Emellett a nagy szilárdságú cirkónium-oxid váz és a csak nagyon vékony porcelán réteg kombinációja különösen hasznossá teszi ezt a technikát parafunkciókban szenvedő pácienseknél – például bruxizmus esetén. Végül, de nem utolsósorban: a gondosan összeállított belső festékek és porcelán árnyalatok választéka révén a CERABIEN™ MiLai lehetővé teszi egyéni 3D színhatások kialakítását, amelyek még korlátozott helyviszonyok mellett is képesek a természetes fogak megjelenését utánozni. A következő esetpélda bemutatja, hogyan valósul ez meg a gyakorlatban. |
|
KEZDŐ ÁLLAPOT A páciens funkcionális és esztétikai problémákkal érkezett. A diagnosztikai fázis során megállapították, hogy a harapási magasság (VDO) növelésére, valamint az új állcsont pozícióban készült wax-upra lesz szükség az okklúzió és a mosoly esztétikájának javításához. |
|
1. ábra A felső fogak intraorális szkennelése, amely súlyos fogkopást mutat. |
|
2. ábra A felső fogak intraorális szkennelése, amely súlyos fogkopást mutat. |
|
3. ábra Intraorális szkennelés: a felső fogak okkluzális (rágófelszíni) nézete. |
|
KEZELÉSI TERV ÉS SZÁMÍTÓGÉPES TERVEZÉS A wax-up elfogadása után elkészült a kezelési terv. Ez magában foglalta a négy felső metszőfog cirkónium koronával való helyreállítását, valamint kompozit restaurációk készítését a hátsó és alsó fogakon. A cél a lehető legtöbb ép foganyag megőrzése volt, így a kialakított helyet a tervezett restauráció (váz + mikro porcelán réteg kizárólag a vestibularis felszíneken) szükséges falvastagságához igazították. Az esztétikai analízis után a koronák minimális vestibularis cutback dizájnt kaptak. Ennek oka a páciens funkcionális problémája volt, amely nagyobb lepattanási kockázatot jelentett volna vastagabb, hagyományos porcelán réteg alkalmazása esetén. A KATANA™ Zirconia YML kiváló esztétikát nyújt, és mindössze 0,3 mm redukcióra van szüksége a természetes felszíni hatás eléréséhez — így ez volt az ideális választás. |
|
4. ábra Minimálisan invazív preparációk a koronák számára. |
|
5. ábra A preparációk okkluzális (rágófelszíni) nézete. |
|
6. ábra Esztétikai vizsgálat – kulcsfontosságú lépés a kívánt új mosoly eléréséhez. |
|
7. ábra A koronák elölnézete a végleges visszametszett kialakításukban. |
|
8. ábra A koronák oldalnézete a CAD szoftverben. |
|
KORONÁK KÉSZÍTÉSE A marást követően a cirkónium felszínét effekt folyadékokkal kezelték. Az ilyen előszinterezett karakterizáció javítja a cirkónium restaurációk egyéni jellegét. A bemutatott esetben narancs festéket vittek fel a nyaki területre, míg kéket az incizális élre. Ezen felül fehér opak folyadékot alkalmaztak a centrális koronák belső felszínén, hogy elfedjék az alatta lévő fog esetleges elszíneződéseit. A végső szinterezés után a vestibularis porcelán réteg felépítése CERABIEN™ MiLai anyagokkal történt – belső festékek és mikro-rétegzés kombinálásával. A morfológiai korrekciók és polírozás után CERABIEN™ ZR FC Paste Stain és Glaze került felhordásra, majd végső polírozás következett, a természetes hatás maximalizálásához. |
|
9. ábra A koronák nyaki és metszőfogainak területére felvitt effektfolyadékok. |
|
10. ábra A központi metszőfogak koronáinak belső felszínének kezelése. |
|
11. ábra KATANA™ cirkónium YML váz szinterezés után. |
|
12. ábra CERABIEN™ MiLai belső festékek és porcelánok. |
|
13. ábra Előkészített vestibularis felszínek a belső festékek felvitelére. |
|
14. ábra 0,2-0,3 mm rétegű CERABIEN™ MiLai porcelán felvitele: CCV2 a nyaki területre, LT1 – Krémes zománc a fő testre és a fényességre, LTX az incizális élre. |
|
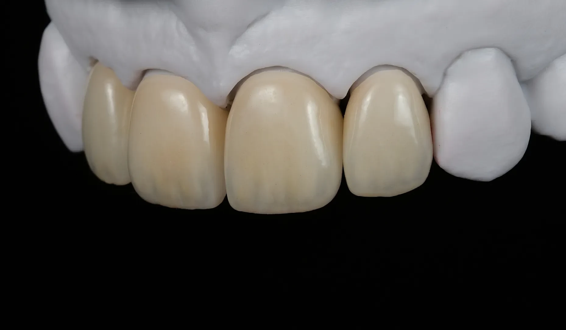
15. ábra A modellen található végleges restaurációk elölnézete. |
|
16. ábra A végleges restaurációk oldalnézete a modellen. |
|
17. ábra A koronák polírozott és mázolt szájpadlás felőli felszínei. |
|
VÉGEREDMÉNY A kész restaurációk finom részletei kiválóan tükrözik a CERABIEN™ MiLai belső festékeinek és porcelánjainak minőségét. Az eredmény természetes hatású, esztétikus restauráció. További előny, hogy a cirkónium kiváló biokompatibilitással rendelkezik, amely a páciens egészséges íny állapotában is megmutatkozik. |
|
18. ábra A restaurációk a helyükön. |
|
19. ábra Természetes hatású restaurációk a páciens szájában. |
|
Fogtechmikus:
KOSTIA VYSHAMIRSKI |
|
Kostia Vyshamirski, Riga, Lettország Több mint tíz év tapasztalattal ma már kurzusokat, előadásokat és szemináriumokat tart világszerte. Tagja a DTG-nek (Dental Technician Guild, USA), és meghívott vendége az AAED-nek (American Academy of Esthetic Dentistry), amely egy exkluzív, meghívásos tagságú szervezet. Rigában működő saját laborjában esztétikai porcelán munkákra specializálódik, és elkötelezett, tapasztalt felhasználója a KATANA™ Zirconia és Noritake porcelánoknak. |
|




















