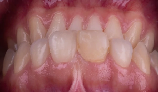
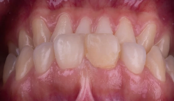
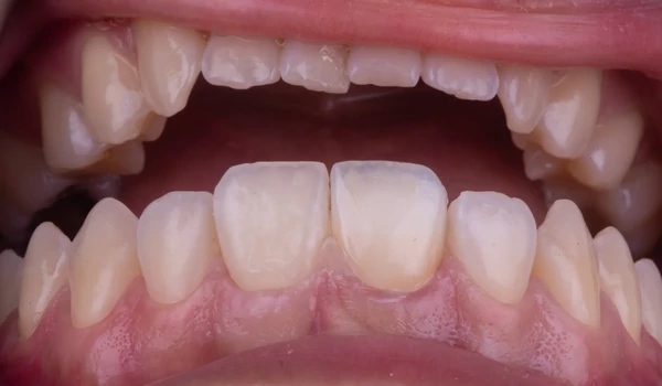
BevezetésA frontfogak traumás törései egyaránt megkövetelik az esztétikum és funkció tökéletes egyensúlyát – mindezt gyakran a páciens érzelmi nyomása alatt. Dr. Koray Kendir esetbemutatója azt szemlélteti, hogyan lehet egy korábban nem megfelelően kezelt centrális metszőt biomimetikus (a természetre emlékeztető) megközelítéssel és Kuraray Noritake termékek segítségével sikeresen rehabilitálni kuraraynoritake.eu. Az eset összefoglalásaEgy 23 éves nőbeteg jelentkezett egy hónappal a trauma után. A sérült 11-es fogon (FDI jelölés) korábban más szakorvos által végzett gyökérkezelést és direkt kompozit felépítést találtak, amely azonban esztétikailag és marginálisan is elégtelennek bizonyult (1. ábra) kuraraynoritake.eu. |
|
1. ábra. Klinikai helyzet kiinduló pont |
A klinikai beavatkozás lépései1. Izoláció és a régi restauráció eltávolításaA fogat kofferdámmal izolálták, majd eltávolították a rosszul illeszkedő régi kompozit restaurációt. Megállapították, hogy a gyökértömés túl koronálisan volt levágva, ami elszíneződés kockázatát rejti magában. Ezért a gutta-perchát a megfelelő biológiai szintre visszaszivattyúzták egy downpack eszköz segítségével kuraraynoritake.eu. |
|
2. ábra. A munkaterület izolálása kofferdámmal: frontális nézet. |
|
3. ábra. A munkaterület izolálása kofferdámmal: okkluzális (rágófelszíni) nézet. |
|
4. ábra. Az előző kezelésből származó guttapercha. |
|
5. ábra. A guttapercha eltávolítva, … |
|
6. ábra. … visszahelyezve a gyökércsatornába … |
|
7. ábra. … és kondenzálva … |
|
8. ábra. … egy "downpack" eszközzel. |
|
9. ábra. Az eljárás eredménye: okkluzális nézet. |
2. Core build-upÜvegszál erősítésű kompozit alapot alkalmaztak a fog szerkezetének stabilitásához. A bonding felületet foszforsavval maratták, majd CLEARFIL™ Universal Bond Quick univerzális ragasztót kentek fel. A core-t CLEARFIL MAJESTY™ ES-2 Premium A1D kompozittal építették fel kuraraynoritake.eu. |
|
10. ábra. Maratás foszforsavas marószerrel. |
|
11. ábra. Az univerzális ragasztóanyag felvitele. |
|
12. ábra. A csonkfelépítés alapos fényrekeményítés után. |
|
13. ábra. A kezelt fog intraorális periapikális röntgenfelvétele. |
3. Preparáció és digitális lenyomatA végleges restaurációhoz ¾-koronás preparációt végeztek, majd intraorális szkennert használtak lenyomatvételre. Ezt követően ideiglenes koronát készítettek, s árnyalatfotókat is rögzítettek kuraraynoritake.eu. |
|
14. ábra. Ideiglenes restauráció a helyén. |
4. Végleges cementálásA laborból visszaérkezett lítium-diszilikát koronát próbálás után PANAVIA™ V5 Try-in Paste White segítségével illesztették fel — ez színhű, természetes hatást biztosított. A koronát hosszúidőn át szárították, KATANA™ Cleaner-rel tisztították. A cementálást PANAVIA™ V5 rendszerrel végezték: Tooth Primer, CLEARFIL™ CERAMIC PRIMER PLUS és végül V5 cement használatával. A felesleges anyagot rövid előpolimerizálást követően távolították el, majd végül teljesen megkötötték kuraraynoritake.eu. |
|
15. ábra. A helyzet az ideiglenes korona eltávolítása után: frontális nézet. |
|
16. ábra. A helyzet az ideiglenes korona eltávolítása után: okkluzális nézet. |
|
17. ábra. A lítium-diszilikát korona próbája. |
|
18. ábra. A korona belső felületének maratása hidrogén-fluorid savval. |
|
19. ábra. A maratott felület kinézete. |
|
20. ábra. A pillérfog tisztítása … |
|
21. ábra. … a tisztítószerrel fedett felület. |
|
22. ábra. Alapos öblítés, amelyet légszárításnak kell követnie. |
| A ragasztás maga a háromkomponensű PANAVIA™ V5 cementtel történt (23–28. ábra): Az előkészített fogstruktúrát és a felépítményt a PANAVIA™ V5 Tooth Primer-rel kezelték, a korona belső felszínét pedig a CLEARFIL™ CERAMIC PRIMER PLUS-szal. Végül a PANAVIA™ V5 Universal (fehér) cementet kinyomták a koronába, majd a koronát a helyére illesztették. A felesleges cementet a legjobb a gél fázisban eltávolítani – azaz a végső fényre keményítés előtt, 3-5 másodperces rövid polimerizáció után. Alternatív megoldásként közvetlenül a restauráció behelyezése után is eltávolítható ecsettel vagy hasonló eszközzel. Ebben az esetben az első lehetőséget választották. A kezelés eredményét a kofferdám eltávolítása, valamint a végső klinikai és esztétikai értékelés után a 29. ábra mutatja. |
|
23. ábra. A fogstruktúra primerezése. |
|
24. ábra. A kiválasztott műgyanta alapú cement. |
|
25. ábra. A fogstruktúra készen áll a korona behelyezésére. |
|
26. ábra. A restauráció a helyén. |
|
27. ábra. A restauráció oldalnézete. |
|
28. ábra. A korona végső fényrekeményítése. |
|
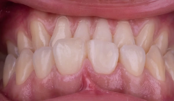
29. ábra. A kezelés eredménye közvetlenül a kofferdám eltávolítása után. |
KonklúzióA beavatkozás célja egy traumásan sérült fog megőrzése volt – mind funkcióban, mind esztétikában. A sikerhez kulcsot jelentett a CLEARFIL MAJESTY™ ES-2 Premium erős, stabil alapja és a PANAVIA™ V5 egyik legmegbízhatóbb ragasztórendszere kuraraynoritake.eu. |
|
|
Fogorvos:
DR: KORAY KENDIR Dr. Koray Kendir a Hacettepe Egyetem Fogorvostudományi Karán végzett, és társalapítója egy izmiri magán fogászati klinikának. Szakterülete a digitális fogászat, a mosolytervezés és a számítógéppel támogatott helyreállító kezelések. Innovatív megközelítéséről ismert, gyakran tart előadásokat országos fogászati kongresszusokon, és tanácsadóként is dolgozik több fogászati vállalatnál. |
